Qu’est ce que l’Orthodontie ?
L’orthodontie, ou orthopédie dento-faciale est la discipline qui permet de corriger la position des dents et des mâchoires afin de redonner une denture fonctionnelle et esthétique.
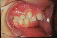
L’Orthodontie de l’enfant
Traitement entre 8 et 12ans :
Denture mixte avec établissement de la denture définitive.
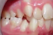
Lorsqu’il existe un décalage entre la mâchoire supérieure et inférieure :
Décalage dans sens avant arrière (antéro-postérieur).
Le port d’un appareillage amovible permet d’encourager la croissance d’une mâchoire et freine la croissance de l’autre.
Décalage vertical : Béance

Décalage transversal (insuffisance de largeur)

Traitement entre 12 et 16ans : En denture définitive
A ce stade toutes les dents définitives sont présentes, l’objectif est surtout de corriger le mauvais alignement dentaire. L’appareil multi-attaches est actuellement le plus utilisé.
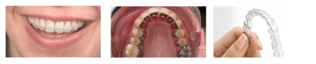
L’Orthodontie de l’adulte
L’orthodontie est possible à tout âge. Chez l'adulte, en raison de la présence possible d'anomalies associées telles que des déchaussements, des migrations dentaires, des décalages entre les arcades (que l’orthodontie seule ne peut corriger car il n’y a plus de croissance) ou des troubles de l’articulation temporo-mandibulaire, elle s’inscrit volontiers dans le cadre d'une approche pluridisciplinaire.
Les traitements peuvent se faire à l'aide de la technique classique avec des brackets esthétiques en vestibulaire, de la technique linguale ou à l'aide de gouttières transparentes.
Les Appareillages
-
Appareillages amovibles


Gouttières transparentes
Invisalign®


Appareillages fixes
Brackets métalliques

-
Brackets transparents
